症例について
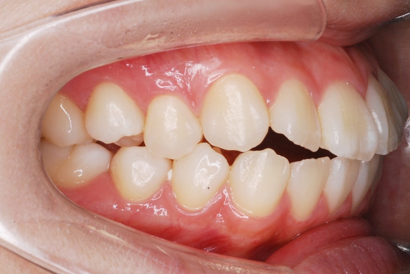
初診時
前歯も奥歯も部分的に上下の歯の間に隙間があり、噛んでいない箇所がありました。また、上下の前歯が前に傾いており、口が閉じづらい状態でした。治療方針の説明の際、お母様とご一緒に来院され真剣に耳を傾けていらっしゃいました。
治療方針
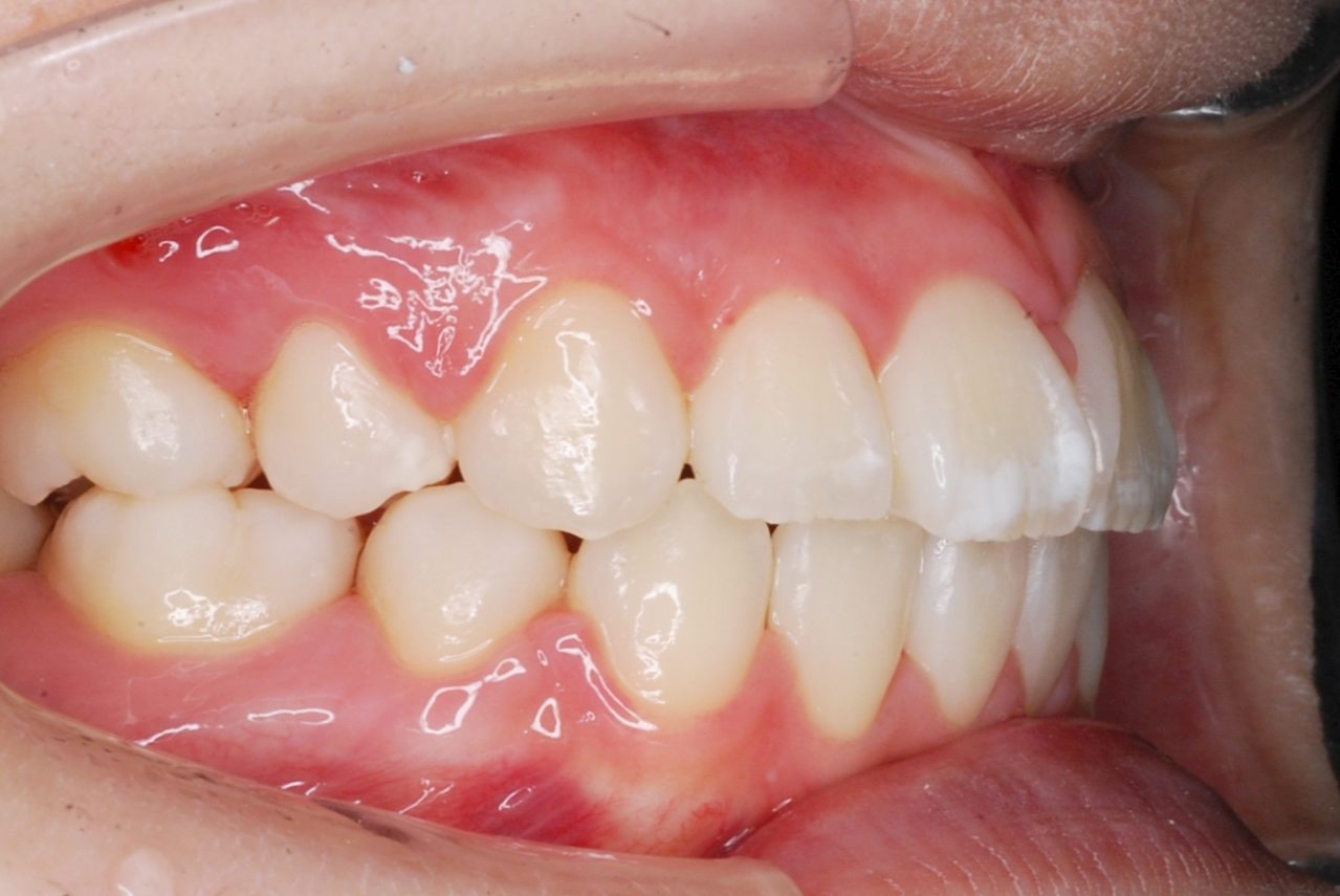
本症例では、上下の歯の間に隙間がある状態は開咬(オープンバイト)と呼ばれ、これは本質的には舌癖、もしくはスペース不足が原因と考えられています。これを解消するために左右の小臼歯を抜歯することとしました。また、口が閉じやすくなる位置まで確実に前歯を後ろの下げるためにマルチブラケット装置を使用しました。
非常に熱心な方で、ほぼ2週間毎に来院をしてくださり治療がとてもスムーズに進みました。
コラムを書きました
本症例を基に『抜歯矯正で「歯が引っ込みすぎてしまう」心配は本当に必要?』というコラムを書きました。そちらも併せてご覧ください。




